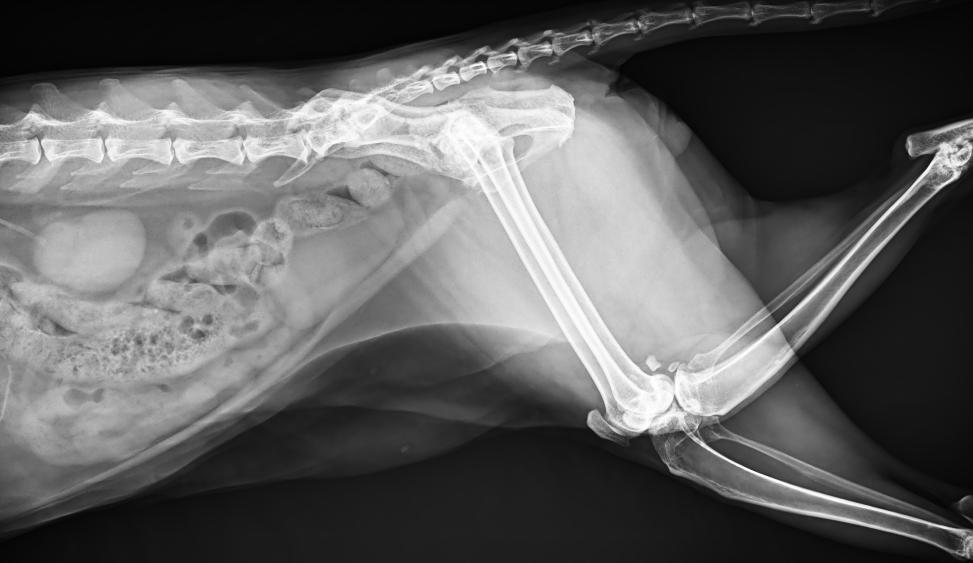
專為拍攝寵物設計 VET1900 寵物DR


精致小巧的機身設計與靈活緊湊的機架結構,大大節約了占地面積,滿足多種安裝條件。

● 17*17大尺寸平板探測器,獲得高質量圖像
● 優異的空間分辨率及信噪比,提升圖像質量
● 采用線噪聲消除技術,使成像質量提升40%
● 進口高品質球管,大功率、高熱容量、微焦點,1.0/2.0mm雙焦點設計
● 25kHz高主逆變頻率,輸出電壓更穩定;瞬時定格影像,無拖尾現象

● 智能高效的圖像處理軟件,大幅提升圖像質量
● 可浮動床面設計,滿足大部分中小型寵物檢查
● 靈巧機架設計,近臺操作,手動/遙控曝光,結構靈活緊湊
● 占地面積小,滿足多種安裝條件