匠心智造 化繁為簡 PLX118C


C形臂和工作站一體化設計,機架結構緊湊,占地面積小,移動靈活輕便。一人即可完成操作,適合在擁擠的手術室內使用,節約手術室空間,方便醫生的臨床操作。
注冊證編號:蘇械注準20212060739
廣告批準文號:蘇械廣審(文)第260325-24281號

C形臂機架在解鎖狀態下可實現多角度懸停,確保設備操作安全平穩。
采用高品質大尺寸觸控式操作屏,靈敏度高,旋轉靈活,方便臨床醫生在機器的各角度進行觸控操作。
該設備可實現在多個手術室之間的無網電待機轉場,大大提高設備的工作效率

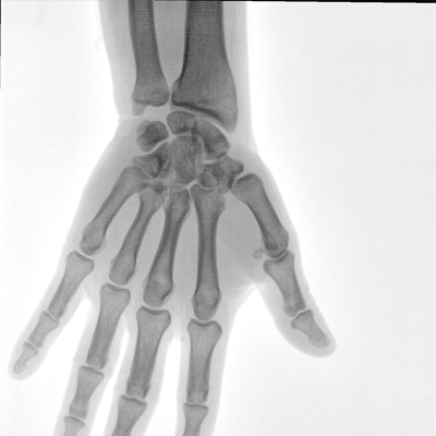
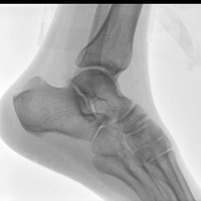
大尺寸液晶顯示器,圖像顯示清晰細膩;顯示器可大角度旋轉,滿足臨床多角度觀察圖像的需要。
在球管和平板探測器兩端,分別加裝了激光定位系統,滿足不同擺位無射線下的定位需求,降低醫患輻射劑量的同時,提高臨床工作效率。
具備束光器預覽功能,可以在無射線狀態下,實現曝光范圍大小的調節;大幅減少臨床反復曝光帶來的射線輻射;并自動調整圖像興趣區大小與位置,使自動模式更準確。

濾線柵可插拔式設計符合行業標準,用于兒科和其他劑量敏感的臨床應用,使用簡便,保障圖像清晰的同時,可有效防護輻射危害。
DAP劑量顯示可以在使用機器的過程中,直接觀察到劑量顯示,保障醫患健康。
可選配無線曝光腳閘,實現隔室曝光。