西藏自治區日喀則市吉隆鎮,坐落于中國與尼泊爾邊境。青藏高原高海拔、寒冷、低氧的特殊環境,導致當地骨科疾病的發病率相較其他地區較高,大骨節病、長骨疾病、關節炎等成了當地百姓不可忽視的健康問題。
普愛醫療邂逅中尼邊陲小鎮
日喀則市吉隆縣中心醫院猶如一位慈悲的守護者,默默守護著當地人民的健康。近日,普愛醫療大視野平板動態DR在吉隆縣中心醫院投入使用,和吉隆縣中心醫院一起,守護一方百姓安康!

大視野一板成像 精準診斷利器
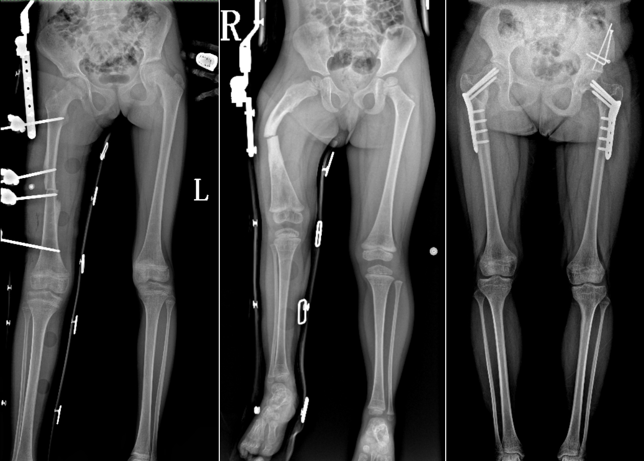
DR是臨床骨科的重要檢查手段之一。在骨科檢查中,脊柱矯形、長骨骨折、腰椎退行性病變等,需要采集脊柱、下肢全景圖像,輔助醫生臨床診斷,從而制定科學的治療方案,普愛醫療的大視野平板動態DR就像是一座橋梁,連接起現代醫療技術與當地人民的醫療需求。

01一板成像不拼接
普愛醫療自主研發的大視野平板動態,采用17"*34"的有效視野,一次曝光即可得到全脊柱或全下肢影像。相較于多張攝影再軟件拼接的DR設備,PLX8600解決了拼接圖像存在密度不均勻,拼接處圖像配準和放大效應等問題,給臨床帶來了真正的大視野影像解決方案。


02動靜相宜 功能強大
除了常規靜態攝影外,PLX8600的大平板具備動態透視和點片功能,能夠很好地觀察復雜部位病灶,有效地抓取關鍵幀,降低患者多次攝片的概率。如:全脊柱狀態評估、長骨關節活動度、下肢靜脈造影瓣膜功能評估、消化道功能評估、脊髓造影等更多大視野臨床應用,“多面手”都能輕松應對。
大視野動靜態兼備的DR設備對于基層診療服務提升是一次質的飛躍,它提高了診斷的準確性和效率,為縣域醫療的發展注入了新的活力。
縣域醫療賦能
為提升縣級醫療機構的診療能力,為患者提供更便捷、高效的服務,普愛醫療持續為縣域醫護人員提供學術提升、臨床技能培訓,用行動為縣域醫療助力。

普愛醫療大視野平板動態DR的到來,不僅僅是一次設備的升級,更是對高原人民健康的一份深情承諾。
讓每一次透視,成為希望的投射;讓每一次治療,都成為健康的禮贊。在珠峰的腳下,普愛醫療與您同行,共同守護這份高原上的健康與希望!